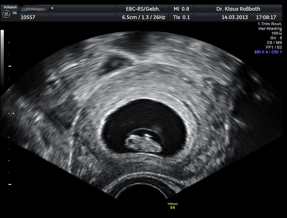
8 Ssw Embryo Zu Klein Aber Herzschlag
Okay, Leute, schnallt euch an! Wir reden über Babys! Genauer gesagt, über winzig-winzige Babys, die so klein sind, dass man sie fast übersehen würde. Wir reden über das magische Reich der 8. Schwangerschaftswoche, eine Zeit voller Aufregung, leichter Panik und einer Menge Ultraschallbilder.
Das Zwergenreich im Bauch: Wenn der Embryo "zu klein" ist
Stellt euch vor, ihr backt einen Kuchen. Ihr habt das Rezept, ihr habt die Zutaten, und ihr habt ihn sogar schon in den Ofen geschoben. Aber dann... ihr öffnet die Ofentür und denkt: "Moment mal, ist der nicht ein bisschen klein?"
So ungefähr ist es, wenn beim Ultraschall in der 8. Woche herauskommt, dass der Embryo "zu klein" ist. Plötzlich tanzen beunruhigende Gedanken Samba im Kopf. "Ist alles in Ordnung? Habe ich etwas falsch gemacht? Wird aus dem Kuchen überhaupt noch was?"
Aber hey, keine Panik! Es gibt eine Menge Gründe, warum der kleine Krümel im Bauch vielleicht nicht der Größentabelle entspricht. Und oft ist es gar kein Grund zur Sorge!
Warum er/sie vielleicht einfach ein Morgenmuffel ist
Erstens: Der Eisprung kann sich verschieben! Denkt daran, dass jede Frau anders tickt. Vielleicht war euer Eisprung einfach ein paar Tage später als gedacht. Das bedeutet, dass die Schwangerschaft noch gar nicht so weit fortgeschritten ist, wie man angenommen hat. Euer kleiner Schatz hat einfach noch etwas Aufholbedarf – so wie ich, wenn ich nach einer langen Nacht aufstehen muss.
Zweitens: Ultraschall sind keine Kristallkugeln! Die Messungen sind nicht immer hundertprozentig genau. Der Arzt kann den Winkel falsch einschätzen, das Gerät kann nicht perfekt kalibriert sein, oder der Embryo hat sich einfach nur in eine ungünstige Position gerollt, um sich vor dem Blitzlicht zu verstecken. (Babys haben schon in der 8. Woche Humor, das schwöre ich!)
Aber was, wenn der Herzschlag da ist?
Hier kommt die gute Nachricht! Wenn der Arzt einen Herzschlag sieht, ist das ein gigantisches, leuchtendes, blinkendes Neonschild mit der Aufschrift: "ALLES IST GUT!" Der Herzschlag ist der beste Indikator dafür, dass sich das Baby normal entwickelt. Ein kleiner Embryo mit einem starken Herzschlag ist oft viel beruhigender als ein großer Embryo, bei dem das Herzchen schlappmacht.
"Ein Herzschlag ist wie ein lauter, fröhlicher Bass in einer Rockband. Solange der Bass knallt, ist die Party noch lange nicht vorbei!" - Irgendein weiser (und musikbegeisterter) Arzt
Was jetzt? Abwarten und Tee trinken (oder Ultraschallbilder starren)
Wenn der Arzt Bedenken hat, wird er euch wahrscheinlich zu einem weiteren Ultraschalltermin in ein paar Tagen oder Wochen schicken. Das ist wie ein kleines Update für den Kuchen im Ofen. Man schaut nach, ob er aufgegangen ist und ob alles gut aussieht.
In der Zwischenzeit: versucht, euch zu entspannen! Ja, ich weiß, das ist leichter gesagt als getan. Aber Stress ist Gift für Mutter und Kind. Gönnt euch ein entspannendes Bad, lest ein gutes Buch, meditiert, schaut eure Lieblingsserie oder trefft euch mit Freunden. Alles, was euch guttut!
Die Moral von der Geschicht': Größe ist nicht alles!
Denkt daran: Babys kommen in allen Formen und Größen. Manche sind Frühstarter, manche Spätzünder. Solange das Herzchen fleißig pumpt und sich das Baby weiterentwickelt, ist alles im grünen Bereich. Vergesst die Vergleicherei mit anderen, vertraut auf euren Körper und auf die Expertise eures Arztes.
Und vor allem: Freut euch auf das kleine Wunder, das in euch heranwächst! Egal, ob es gerade einem Mini-Marshmallow oder einer kleinen Bohne ähnelt, es ist euer Mini-Marshmallow/eure kleine Bohne! Und es wird euch das Leben auf die schönste Art und Weise auf den Kopf stellen. Versprochen!
Also, Kopf hoch, liebe werdende Mamas! Euer Kuchen wird (auch wenn er vielleicht etwas kleiner ist als erwartet) garantiert köstlich!
